Skip to content
Meng Dentistry
  • Home
  • About
    • Meet Dr. Joe Meng
    • Meet Dr. Graham Meng
    • Meet Dr. Minde Meng
  • Services
    • Dental Bonding
    • Dental Bridges
    • Dental Crowns
    • Dental Fillings
    • Dental Veneers
    • Dentures
    • Emergency Dentistry
    • Sedation Dentistry
    • Sleep Apnea Treatment
    • Teeth Whitening
    • TMJ Treatment
  • Dental Implant
    • Am I A Candidate?
    • Dental Implant FAQs
    • Full-Mouth Dental Implants
    • What are your options?
    • What to Expect
  • Smile Gallery
  • Patient
    • Financing
    • Your First Visit
  • Online Referral
  • Hygiene Services
    • Periodontal Therapy
Call Us : (406) 980-8940
Book Your Appointment
Meng Dentistry Banner

Smile Gallery

Book Your Appointment
Call Us : (406) 980-8940
Meng Dentistry Banner

Welcome to the smile gallery

Click on one of the tags below to search for what you are looking for then click "Learn More" on the case studies in the search results.

  • All Categories
  • Bleaching
  • Bonding
  • Bone Grafting
  • Bridges
  • Crowns
  • Dental Implants
  • Denture Implants
  • Dentures
  • Full Mouth
  • General Dentistry
  • Implant Prostheses
  • Miniveneers
  • Prototype Bonding
  • Veneers

Dental Veneers to Fix Wear Due to Grinding

Dental Veneers to Fix Wear Due to Grinding
Read More

Esthetic Prototype Bonding in Preparation for Full Mouth Reconstruction

Esthetic Prototype Bonding in Preparation for Full Mouth Reconstruction
Read More

Prototype Bonding and Veneers to Fix Acidic Reflux Problems

Prototype Bonding and Veneers to Fix Acidic Reflux Problems
Read More

Porcelain Veneers to Fix Wear and Spacing Issues

Porcelain Veneers to Fix Wear and Spacing Issues
Read More

Prototype Bonding and Veneers to Fix Wear and Grinding

Prototype Bonding and Veneers to Fix Wear and Grinding
Read More

Implant Dentures for a New, Pleasing Smile

Implant Dentures for a New, Pleasing Smile
Read More
  • All
  • Denture
  • Composite Bonding
  • Porcelain Crowns
  • Veneers
  • Dental Implant
  • Smile Makeover
  • Dental Crown
  • Dental Bridge
  • Resin Bonding
  • Prosthesis Closing
  • Full Mouth Treatment
Denture 2
Denture 7
Denture 5
Denture 6
Denture 4
Denture 3
Denture
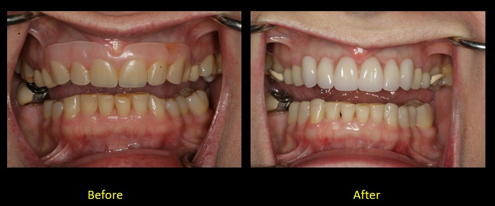
Denture Before After
Denture Before After
Anterior composite bonding
Composite Bonding
Lower Composite Bonding
Porcelain Crown Before After
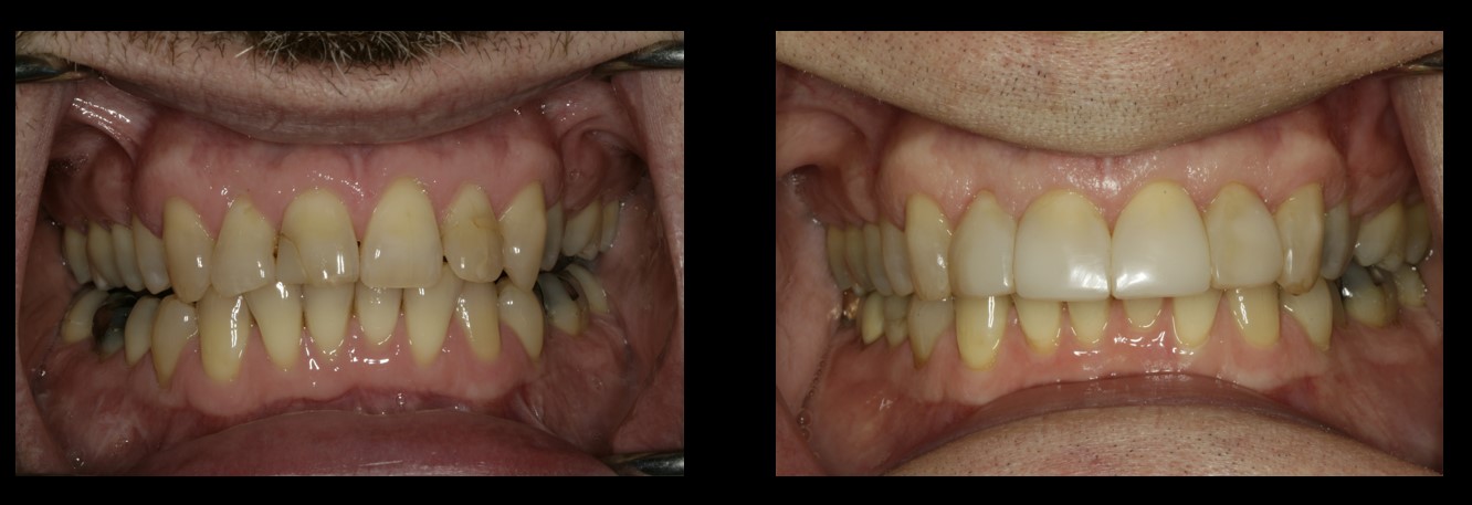
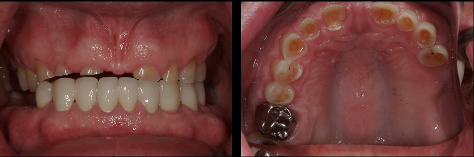
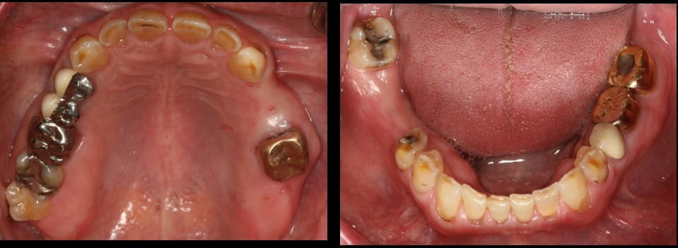
Full-Mouth Restoration Before
Full-Mouth Restoration After
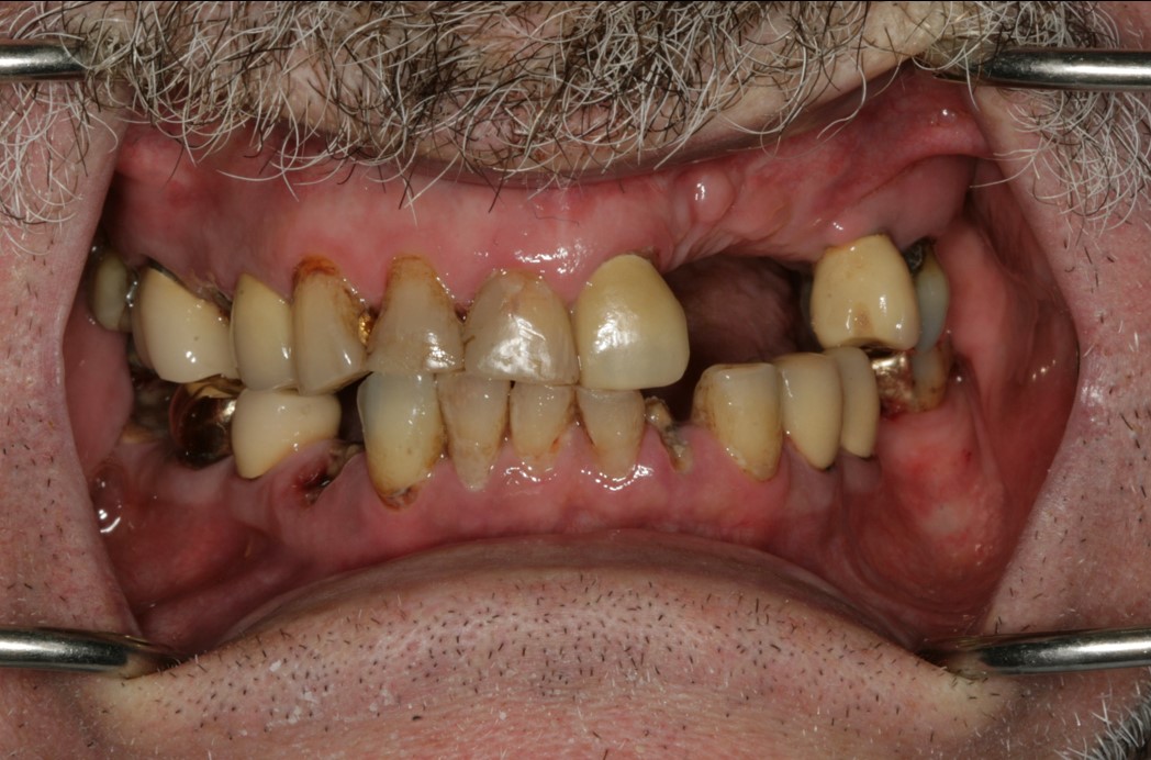
Full-Mouth Restoration Xrey
Full-Mouth Restoration
Porcelain Crowns
Porcelain Crowns
Porcelain Crowns Before After
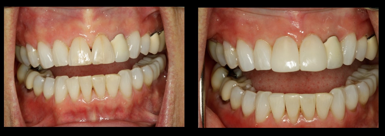
Porcelain Veneers Before After
Upper Veneers Before After
Upper Veneers Before After
Upper Veneers Before After
Veneers Before After
Dental Veneers Before After
Upper Veneers Before After
Dental Veneers Before After
full upper and lower implant reconstruction
full upper and lower implant reconstruction
full upper and lower implant reconstruction
full upper and lower implant reconstruction
full upper and lower implant reconstruction
Dental Implant Before After
Dental Implant Before After
Dental Implant Before After
Dental Implant Before After
Dental Implant Before After
Dental Implant Before After
Dental Implant Before After
Dental Implant Before After
Implants
Dental Implant Before
Dental Implant Before After
Dental Implant Before After
Dental Implant Before After
Dental Implant Before After
Dental Implant Before After
Dental Implant Before After
Dental Implant Before After
Smile Makeover
Dental Crowns Before After
Dental Crown
Dental Crown
Ceramic Bridge Before After
Dental Bridge Before After
Resin Bonding Before After
Prosthesis Closing Before After
Prosthesis Closing Before After
Prosthesis Closing Before After
Full Mouth Treatment Before After
Full Mouth Treatment Before After
Full Mouth Treatment Before After
Full Mouth Treatment Before After
Full Mouth Treatment Before After
Full Mouth Treatment Before After
Vineyard Dental & Orthodontics

Follow Us:

Facebook-Icon Youtube-Icon

Quick Link

  • Privacy Policy
  • Terms & Condition

Address

2315 McDonald Ave Suite 310,
Missoula, MT, 59801

Hours

  • Mon – Thu: 8:00am to 5:00pm
  • Fri - Sun: Closed

Copyright © 2025, Meng Dentistry

  • Home
  • About
    • Meet Dr. Joe Meng
    • Meet Dr. Graham Meng
    • Meet Dr. Minde Meng
  • Services
    • Dental Bonding
    • Dental Bridges
    • Dental Crowns
    • Dental Fillings
    • Dental Veneers
    • Dentures
    • Emergency Dentistry
    • Sedation Dentistry
    • Sleep Apnea Treatment
    • Teeth Whitening
    • TMJ Treatment
  • Dental Implant
    • Am I A Candidate?
    • Dental Implant FAQs
    • Full-Mouth Dental Implants
    • What are your options?
    • What to Expect
  • Smile Gallery
  • Patient
    • Financing
    • Your First Visit
  • Online Referral
  • Hygiene Services
    • Periodontal Therapy